
ブログ|東近江市八日市で歯科をお探しの方は【Be smile歯科・矯正歯科】まで
BLOG
ブログ
CATEGORY :

マウスピース矯正の症例
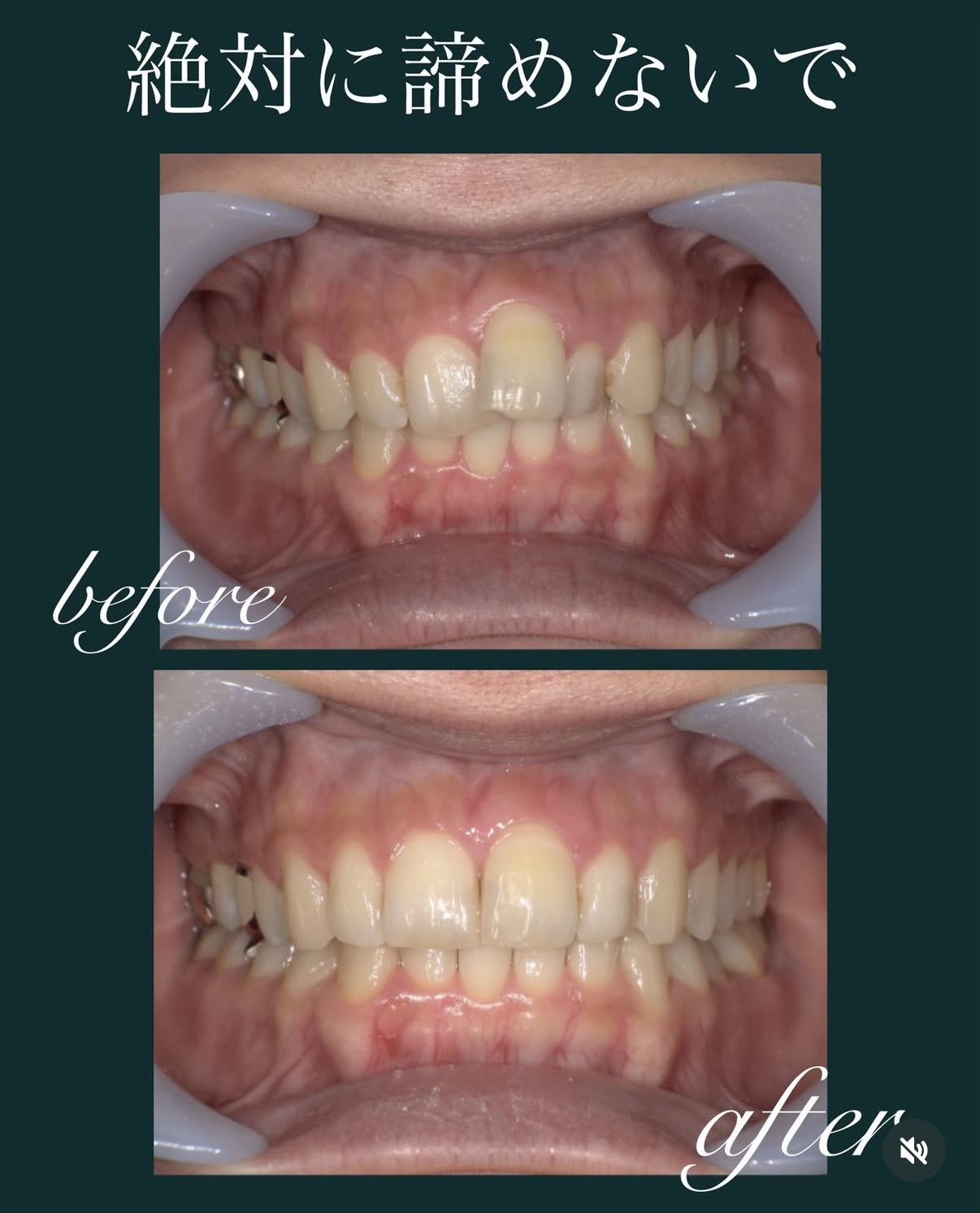
本日はインビザラインフル(マウスピース矯正)の症例をご紹介したいと思います✨ インビザラインフル(コンプリヘンシブパッケージ)
880000円
追加アライナー2回
期……
CATEGORY :

虫歯ができたかも?
虫歯は進行度合いによって、C0からC4までの5つのステージに分類されます。ステージが進行するにつれて症状や治療方法が異なり、早期発見・早期治療が重要です。 【C0】歯の表面のエナメル質がわずか……
CATEGORY :

子ども矯正
子どもの矯正、早めにしてあげたいけれど、痛そう、装置が目立つ、取り外しが大変、歯磨きが大変、、、 そんな理由で諦めてはいないでしょうか?? インビザライン・ファーストという、透明のマウ……
CATEGORY :

取材を受けさせていただきました。
Be smile の院長井田旭洋が歯科メディに取り上げられました✨ 歯並びが気になっても「金属の矯正器具には抵抗がある」「治療の痛みや通院のわずらわしさが不安」などの理由から、一歩踏み出せない……
CATEGORY :

歯の白い斑点を削らずに治す?!
ホワイトスポット治療の症例ケース ホワイトスポットとは、歯の表面にできる白い斑点のことです。
歯の表面のエナメル質が部分的に白く濁って見える状態を指します。初期う蝕やエナメル質形成不全が……
CATEGORY :

スタッフセミナー受講
Straumann Aligner スタッフセミナー受講👏 先日はスタッフたちに大阪まで矯正のセミナーへ受講しに行っていただきました! Be smileでは2ヶ月に1回ほど院外研修を受講……
CATEGORY :

マウスピース矯正
マウスピース矯正という言葉を聞いたことがある方も多いのではないでしょうか? 私たちクリニックでも取り扱っているマウスピース矯正の一つ、インビザラインについてお話ししたいと思います。 イン……
CATEGORY :

お口の中に銀歯はありますか??
虫歯になった時、比較的大きな虫歯だと詰め物をすることになります。 銀歯かセラミック、お値段も違うし迷ったことはありませんか?
そして今、銀歯がお口の中に入っている人はいませんか?
……
CATEGORY :

フッ素入り歯磨き粉について
皆さんはフッ素入り歯磨き粉を使っていますか?
フッ素入り歯磨き粉は、虫歯予防に科学的に効果が証明された成分を含んでいます。 実際、フッ素には歯のエナメル質を強化し、虫歯菌の働きを抑える作……
CATEGORY :

新体制になりました。
新メンバー、新体制になり1ヶ月🎉 半年、3ヶ月、1ヶ月、
本当に医院のスタッフ、たくさんの患者さんに支えられているなと日々感謝が込み上げます。 もっともっと良いように、
月1……
カテゴリ
- カテゴリーなし