インビザライン
プラチナドクターによる
マウスピース矯正治療
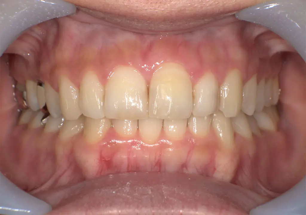
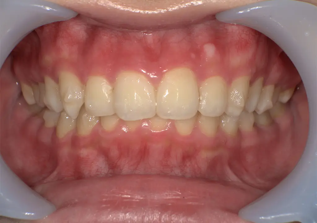
当院は、世界で1,500万人以上の治療実績があるマウスピース型矯正装置「インビザライン」を採用しています。
その症例数が豊富なことから、当院は「インビザライン・プラチナドクター」の認定を受けています。この認定は、学生の方から大人の方まで、幅広い年齢層の患者さまに治療を選んでいただいた実績数によって与えられるものです。当院では、これまでの経験を活かし、お一人お一人のお口の状態やライフスタイルに配慮した治療計画をご提案いたします。



















